Zahnerhaltung
Zahnerhaltung (M.Sc.)

Ziel des weiterbildenden Masterstudiengangs Zahnerhaltung an der FAU ist es, die bestehende Lücke in der zahnärztlichen Weiterbildung im Bereich der Zahnerhaltung durch ein universitäres postgraduales Ausbildungsangebot zu schließen.
Der Masterstudiengang Zahnerhaltung befähigt die Absolventinnen und Absolventen zur adäquaten zahnärztlichen Diagnostik und selbstständigen Durchführung aller zum Zahnerhalt notwendigen, auch anspruchsvollen Behandlungen.
- Abschluss
- Master of Science
- Regelstudienzeit
- 5
- Studienbeginn
- Wintersemester
- Studienort
- Erlangen
- Größe
- <25
- Fächergruppe
- Humanmedizin, Gesundheitswissenschaften
- Besondere Studienformen
- Weiterbildungs-/berufsbegleitender Studiengang
- Unterrichtssprache
- vollständig auf Deutsch
- Zugang
- Qualifikationsfeststellungsverfahren
- Schlagwörter
- Medizin, Zahnarzt
Worum geht es im Studiengang?
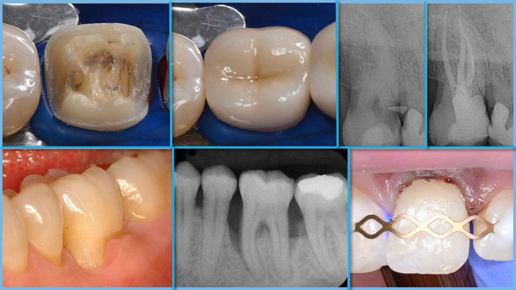
Der Studiengang Zahnerhaltung ist ein berufsbegleitender Weiterbildungsstudiengang mit dem Abschluss Master of Science (M.Sc.). Er bietet eine klinisch orientierte Ausbildung nach den aktuellsten evidenzbasierten Standards und entsprechend der Leitlinien der wissenschaftlichen Fachgesellschaften. Während des Studiums werden die Bereiche der Restaurativen Zahnerhaltung, der Parodontologie, der Endodontologie sowie der Präventiv- und Kinderzahnmedizin in Theorie und Praxis vermittelt. Die Regelstudienzeit beträgt 5 Semester.
Zentraler Bestandteil des Studiengangs ist die Arbeit an und mit Patientenfällen aus der Praxis. Die praktische Tätigkeit setzt jedoch die Einbettung der klinischen Fälle in den aktuellen wissenschaftlichen Kontext voraus, der in den entsprechenden Modulen erarbeitet wird.
Dabei wird in Vorlesungen Wissen vermittelt, das deutlich über die während des Studiums der Zahnmedizin vermittelten Grundlagen hinausreicht. Regelmäßige Fallpräsentationen und -besprechungen schulen den Transfer und ermöglichen den Austausch mit Kolleginnen und Kollegen. Die entsprechenden klinischen Fälle werden entsprechend eines Fallkataloges dokumentiert, als Präsentationen vorgestellt und gemeinsam diskutiert. Trainingskurse mit Demonstrationen und Hands-on-Übungen in Simulationen ergänzen die Lehrformate und ermöglichen die Weiterentwicklung Optimierung klinischer Techniken und Fertigkeiten.
Der Masterabschluss stellt einen weiteren, höheren berufs- und forschungsqualifizierenden Abschluss im Bereich der Zahnmedizin dar. Die Absolventinnen und Absolventen weisen mit der Masterprüfung nach, dass sie auf dem Gesamtgebiet der Zahnerhaltung vertiefte Fachkenntnisse erworben haben und als klinisch selbstständig arbeitende Zahnärztinnen und Zahnärzte mit fundiertem wissenschaftlichen Hintergrund in der Lage sind, komplexe klinische Situationen zu lösen soweit neue Wissens- und Anwendungsgebiete zu erschließen und zu entwickeln. Die Qualifikation als M.Sc. der FAU Erlangen-Nürnberg stellt ein für Patientinnen und Patienten erkennbares Qualitätsmerkmal dar.
-
In den ersten vier Semestern werden die Fächer der Zahnerhaltung gelehrt: Restaurative Zahnerhaltung, Parodontologie, Endodontie, Präventive und Kinderzahnmedizin. Im fünften Semester folgt die Masterarbeit. Während des Semesters finden jede Woche Vorlesungen und klinische Fallbesprechungen statt, die im Hybridformat durchgeführt werden. Das Hauptaugenmerk liegt auf der Patientenbehandlung, die in der eigenen Praxis durchgeführt wird. Dabei soll in jedem der vier Fächer ein vorgegebener Behandlungskatalog erfüllt werden. Die Fälle werden nach vorgegebener Form dokumentiert sowie in den Fallbesprechungen durchgenommen und diskutiert. Pro Semester gibt es jeweils freitagnachmittags 2-3 Hands-on Kurse, deren Termine vorab festgelegt werden.
Die Prüfungen werden anhand der Falldokumentationen als Falldiskussionen durchgeführt.
Die Referentinnen und Referenten kommen aus der Klinik für Zahnerhaltung und Parodontologie des Universitätsklinikums Erlangen. Es werden aber auch externe, in ihrem Fachgebiet ausgewiesene Expertinnen und Experten sprechen.
-
Restaurative Zahnerhaltung, Parodontologie, Endodontie, Präventive und Kinderzahnmedizin.
-
- abgeschlossenes Studium der Zahnmedizin mit deutscher Approbation
- mind. 1 Jahr Berufserfahrung
-
- berufsbegleitendes Studiengangskonzept teilweise auch Online-Präsenz möglich
- einziger Standort mit diesem Angebot
- Leitlinienorientierte Fallbesprechungen
- wissenschaftliche Vertiefung beruflich erworbener Kompetenzen
-
Vertieftes Erlernen eines breiten Fächerspektrums der Zahnerhaltung
-
- Zugangsvoraussetzungen (1. Semester)
- Qualifikationsfeststellungsverfahren
- Bewerbungsfrist Wintersemester
-
29.07.
- Inhaltliche Zugangsvoraussetzungen
-
Die Voraussetzung für die Zulassung zum Studiengangs sind
- die deutsche Approbation als Zahnärztin bzw. Zahnarzt
- eine mindestens einjährige qualifizierte berufspraktische Erfahrung als Zahnärztin bzw. Zahnarzt und
- das Bestehen des Qualifikationsfeststellungsverfahrens.
sh. Studienordnung https://www.doc.zuv.fau.de//L1/PO/Med/Zahnerhaltung/konsolidierte_Fassungen/Weiterbildungsstudiengang_Zahnerhaltung_StuPO_ZahnE_20250131.pdf
Sprachkenntnisse
- Deutschkenntnisse für internationale Studierende
- DSH 2 oder gleichwertig
- Details und Anmerkungen
-
Die Zugangsvoraussetzungen https://www.med.fau.de/studium/master-zahnerhaltung/#collapse_4 und das Bewerbungsverfahren https://www.med.fau.de/studium/master-zahnerhaltung/#collapse_5 werden auf der Webseite des Studiengangs beschrieben.
- Studiengebühren
- 20.000 Euro
Benötigen Sie Hilfe oder weitere Informationen?
Unsere Studienberatung ist die zentrale Anlaufstelle für alle Fragen rund ums Studium und den Studieneinstieg. Unsere Studien-Service-Center und Studienfachberaterinnen unterstützen Sie bei der Planung Ihres Studiums.
